top of page
更多单颗后牙缺失 病例 1
A 28y F. tooth 26 had been removed six months before because of an endodontic complication. Open flap surgery with WN Straumann 4.8x10. 10 Day for suture removal. 28 Days cemented crown and completed treatment. Followup 1y and 2 yrs with perfect result.
.png)
.png)
.png)
.png)
.png)
.png)
.png)
.png)
更多单颗后牙缺失 病例 2
50 y F, endodonticaaly failed 16 and pain. 16 was extracted and she waited 4 months for healing. Straumann TE WN 4.8 x12mm. Heal for 6 weeks. Early loading protocol. Crown was perfect in 5 year follow up.
.png)
.png)
.png)
.png)
.png)
.png)
.png)
.png)
.png)
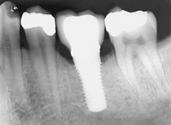
更多单颗后牙缺失 病例 3
36 y M, pain, root fracture 24 with endo RCT before. 5 weeks of soft tissue healing for early implant surgery, with bone graft. 4 months after surgery the tooth was restored. 1.5 y follow up perfect.
.png)
.png)
.png)
.png)
.png)
.png)
.png)
.png)
.png)
更多单颗后牙缺失 病例 3
32y M large caries lesion 36 hopeless tooth. Tooth extraction and implant surgery placed same time to reduce morbidity. TE WN straumann implant + bone graft + membrane cover with Flap full coverage for large gaps. 2 mm deeper than bone crest. Healing for 4 months before open for healing abutment. Crown delivered at 6 months and follow up for 12 months.

.png)
.png)
.png)
.png)
.png)
.png)
.png)
特色服务
1/4
医生推荐
医疗环境及设备

万锦诊所大楼外景

候诊大厅

Itero 3D数码扫描仪

万锦诊所大楼外景
1/7

bottom of page








